Did you know your periodontist can play a crucial role in your Jacksonville orthodontics therapy?
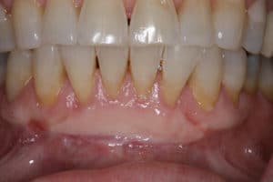
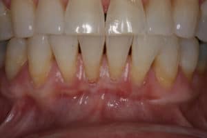
Soft Tissue Grafting
Gum tissue is vital to moving the teeth through bone. Without it, your teeth may lose supporting bone and become very sensitive or loose. Your periodontist can ensure there is sufficient tissue around your teeth before and after treatment with a variety of soft tissue grafting procedures.


Exposure
Sometimes, teeth need surgical exposure in order to erupt properly into your smile. There are many ways to access teeth that have failed to erupt naturally. Most importantly, these procedures are extremely safe and can ensure you'll have the right amount of teeth for your smile! Learn more about exposure & gum recession treatment in Jacksonville by calling one of our four locations today!


Esthetic Crown Lengthening / Gummy Smile
There are many instances when orthodontics is not enough to perfect your smile. Sometimes your teeth, although perfectly straight, may still appear short or you may have a "gummy smile." After orthodontic therapy, esthetic crown lengthening can enhance your straightened smile.


Accelerated Osteogenic Orthodontics / Wilckodontics
What if Jacksonville orthodontics didn't have to take so long? Our periodontists in Jacksonville, FL are certified in Accelerated Osteogenic Orthodontics (AOO), or Wilckodontics. This surgical procedure can make orthodontic treatment 3 to 4 times faster than conventional orthodontic therapy! The process involves using the inflammation created during the surgery to boost the healing response. After initially softening the bone for tooth movement, bone grafting helps the bone heal thicker than before and allows for more movement in shorter time. Call Modern Periodontics today to see if you are a candidate for this cutting edge procedure.

